Triple-Negative Immunohistochemistry Explained

B.Custella 87 views
Triple-Negative Immunohistochemistry Explained

Triple-Negative Immunohistochemistry Explained

Hey there, guys! Let’s dive deep into a topic that’s super important in the world of cancer diagnosis and treatment: Triple-Negative Immunohistochemistry , often shortened to TNBC IHC. Now, if you’ve heard the term “triple-negative” before, especially in relation to breast cancer, you know it can sound a bit intimidating. But don’t worry, we’re going to break it all down in a friendly, easy-to-understand way, making sure you grasp why this specific diagnostic process is so crucial and what it means for patients. Understanding immunohistochemistry (IHC) , particularly in the context of triple-negative cases, is absolutely vital because it guides treatment decisions and helps medical professionals tailor therapies that are most likely to be effective. This isn’t just about fancy lab tests; it’s about giving patients the best possible fighting chance. We’re talking about a diagnostic tool that identifies the absence of three key receptors on cancer cells, which then profoundly impacts how doctors approach treatment strategies. Think of it as a roadmap for personalized medicine, helping clinicians navigate the complex landscape of breast cancer. The results of this IHC test directly influence whether a patient will respond to certain hormonal therapies or targeted drugs, making it an indispensable part of a comprehensive cancer workup. We’ll explore the science behind it, its clinical significance, and why knowing your status is a game-changer. So, buckle up, because we’re about to demystify triple-negative immunohistochemistry together!

What is Triple-Negative Immunohistochemistry (IHC)?

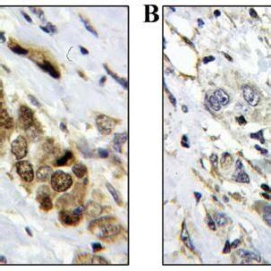
Alright, let’s get into the nitty-gritty of what Triple-Negative Immunohistochemistry actually is, because understanding the basics is key to appreciating its significance. Essentially, when we talk about triple-negative , we’re referring to a specific characteristic of breast cancer cells: they lack three particular proteins that are commonly found on other types of breast cancer cells. These three proteins are the Estrogen Receptor (ER), the Progesterone Receptor (PR), and the Human Epidermal growth factor Receptor 2 (HER2). Immunohistochemistry , or IHC for short, is the lab technique used to detect these proteins. It’s a powerful diagnostic tool where special antibodies are used to bind to specific antigens (in this case, the ER, PR, and HER2 proteins) within a tissue sample, usually from a biopsy. When these antibodies bind, they’re then made visible through a chemical reaction that produces a color change, allowing a pathologist to literally see whether these receptors are present or absent on the cancer cells under a microscope. So, a cancer is deemed “triple-negative” if the IHC test shows that none of these three receptors are present or expressed at significant levels. This finding is incredibly important because ER and PR positive cancers often respond well to hormone therapies, which block the effects of estrogen or progesterone, while HER2 positive cancers can be treated with targeted drugs specifically designed to block the HER2 protein. The absence of all three of these targets in triple-negative breast cancer (TNBC) means that these standard targeted therapies won’t be effective. This makes triple-negative immunohistochemistry not just a diagnostic label, but a critical determinant of treatment strategy, pushing clinicians to explore other avenues like chemotherapy, immunotherapy, or clinical trials for new drugs. It’s about more than just identifying cancer; it’s about understanding its unique biological fingerprint to fight it most effectively. Without this detailed IHC analysis, treatment plans would be far less precise, potentially leading to ineffective therapies and delayed progress in a patient’s journey. Therefore, the detailed and careful execution of immunohistochemistry for triple-negative breast cancer is paramount in modern oncology, guiding every subsequent step in patient care.

Why is Triple-Negative Breast Cancer (TNBC) Different?

So, you might be asking, why is triple-negative breast cancer (TNBC) considered so different and often more challenging to treat compared to other breast cancer subtypes? Well, guys, the answer lies precisely in what we just discussed: the absence of those three key receptors – Estrogen Receptor (ER), Progesterone Receptor (PR), and HER2 – which are typically used as targets for many effective breast cancer treatments. This fundamental lack of targets makes TNBC a unique beast in the oncology world. Unlike ER-positive cancers, which thrive on estrogen and can be suppressed by hormonal therapies like tamoxifen or aromatase inhibitors, TNBC doesn’t respond to these drugs because it lacks the estrogen receptor. Similarly, unlike HER2-positive cancers, which have an abundance of the HER2 protein and can be effectively targeted by therapies like trastuzumab (Herceptin) that specifically block HER2, TNBC cells don’t have this overexpressed protein, rendering these specific HER2-targeted treatments useless. This means the conventional and often highly successful targeted therapies that work wonders for other breast cancer types simply aren’t an option for TNBC patients. This isn’t just a minor difference; it’s a major therapeutic roadblock that requires a completely different approach. Consequently, the primary systemic treatment for TNBC has traditionally been chemotherapy, which is a broad-spectrum approach that targets rapidly dividing cells, including cancer cells, but also some healthy cells, leading to more generalized side effects. Furthermore, TNBC often exhibits more aggressive behavior: it tends to grow faster, metastasize (spread) more quickly, and has a higher chance of recurrence within the first few years after treatment compared to other subtypes. The cells themselves are often characterized by high-grade features, meaning they look very abnormal under the microscope, and they have a higher proliferative index, indicating they’re multiplying rapidly. This aggressive nature, combined with the lack of specific targets, is why TNBC has historically been associated with a poorer prognosis and why finding new, effective treatments is such a crucial area of research. However, it’s not all doom and gloom! Advances in understanding TNBC biology and the development of new treatments, such as immunotherapy and PARP inhibitors for specific genetic mutations, are beginning to change the landscape. Researchers are diligently working to uncover new weaknesses in TNBC cells and develop innovative targeted therapies, offering new hope and improved outcomes for patients. The ongoing efforts in research are transforming the outlook for those diagnosed with this challenging subtype. Immunohistochemistry for triple-negative breast cancer is the very first step in identifying this particular subtype, paving the way for specialized and evolving treatment protocols. Knowing these unique characteristics is empowering for both patients and their medical teams as they navigate the journey ahead, emphasizing the urgency and importance of continued advancements in the field.

The Role of Immunohistochemistry in Diagnosing TNBC

When it comes to diagnosing triple-negative breast cancer , immunohistochemistry (IHC) isn’t just a step in the process; it’s the linchpin that unlocks the specific identity of the tumor, making it an absolutely indispensable tool in modern pathology. Imagine a detective trying to solve a mystery without crucial evidence – that’s what treating breast cancer would be like without IHC. After a biopsy is taken – often a core needle biopsy – the tissue sample heads to the pathology lab. There, it’s meticulously processed, embedded in paraffin wax, and then cut into incredibly thin slices. These slices are placed on glass slides, ready for the IHC staining process. The magic of IHC for TNBC lies in its ability to visually confirm the absence of those three critical receptors we’ve been discussing: ER, PR, and HER2. Pathologists apply specific antibodies engineered to bind exclusively to the Estrogen Receptor, Progesterone Receptor, and HER2 protein, respectively. If a receptor is present on the cancer cells, the antibody binds to it, and a subsequent chemical reaction makes this binding visible as a color change under the microscope. If the receptor is absent, there’s no binding, and thus no color change in the tumor cells, indicating a negative result. For a breast cancer to be classified as triple-negative, the pathologist must observe that all three markers are negative. This means: no significant staining for ER, no significant staining for PR, and no overexpression or amplification of HER2 (which is typically assessed through both IHC and sometimes a confirmatory test like FISH, Fluorescence In Situ Hybridization, if the IHC result for HER2 is equivocal). The precision of immunohistochemistry for triple-negative breast cancer is paramount here. A clear and accurate read of these markers is what informs the oncologist about the tumor’s biological profile, allowing them to confidently rule out hormone-blocking therapies and HER2-targeted drugs. Without this definitive IHC result, there would be considerable uncertainty regarding the most appropriate course of action, potentially leading to treatment delays or the administration of ineffective therapies. It’s a foundational diagnostic technique that ensures patients receive tailored, evidence-based care, highlighting why every pathologist plays such a vital role in the initial stages of a patient’s cancer journey. This detailed process ultimately ensures that the patient’s treatment plan is built on a solid understanding of their specific cancer’s biology, optimizing their chances for the best possible outcome by guiding the most effective therapeutic strategies from the very beginning.

Understanding the Markers: ER, PR, and HER2

Alright, let’s take a closer look at the stars of our show – the three crucial markers that define triple-negative breast cancer: Estrogen Receptor (ER) , Progesterone Receptor (PR) , and Human Epidermal growth factor Receptor 2 (HER2) . Understanding each of these individually is key to grasping why their absence makes TNBC so distinct. First up, we have the Estrogen Receptor (ER) . Think of ER as a tiny lock on the surface or inside a breast cancer cell. If estrogen, a hormone produced naturally in the body, acts as a key, it can bind to this lock, telling the cancer cell to grow and multiply. About 70-80% of all breast cancers are ER-positive, meaning their cells have these locks. When a cancer is ER-positive, it’s often susceptible to hormone therapy drugs like tamoxifen or aromatase inhibitors, which block estrogen’s ability to bind to the receptor, essentially taking away the fuel that makes the cancer grow. Now, for Progesterone Receptor (PR) , it’s pretty similar to ER. Progesterone is another hormone that can also promote cancer cell growth, and like ER, its receptor acts as a lock. Many ER-positive cancers are also PR-positive, and the presence of both receptors often indicates a higher likelihood of responding to hormone therapy. So, if a tumor is both ER and PR positive, it means that targeting these hormonal pathways is a strong option. These two receptors are crucial because they offer clear targets for endocrine treatments that have significantly improved outcomes for a large proportion of breast cancer patients for decades. Finally, we have Human Epidermal growth factor Receptor 2 (HER2) . This isn’t a hormone receptor; instead, it’s a protein that sits on the outside surface of cells and is involved in cell growth, division, and repair. In about 15-20% of breast cancers, the HER2 gene is amplified, leading to an overabundance of HER2 proteins on the cancer cell surface. This excessive amount of HER2 acts like an always-on growth signal, causing these cancer cells to grow and divide very aggressively. For HER2-positive cancers, there are highly effective targeted therapies like trastuzumab (Herceptin) or pertuzumab, which specifically bind to the HER2 protein and block its growth-promoting signals, effectively shutting down the cancer’s ability to proliferate. When a tumor is declared triple-negative , it means that the immunohistochemistry (IHC) test results show no significant presence of ER, PR, and HER2 on the cancer cells. This means the cancer cells lack these growth pathways, which also means that the highly effective hormonal therapies and HER2-targeted drugs, which have revolutionized treatment for other subtypes, simply won’t work for these patients. This distinction is paramount, as it immediately steers the medical team towards alternative treatment strategies, making the accurate identification of these markers through triple-negative immunohistochemistry a critical step in crafting a personalized and effective treatment plan. Knowing this empowers doctors and patients to make informed decisions and focus on the therapies that stand the best chance of success, such as chemotherapy or newer immunotherapies, which are specifically designed for this challenging cancer type.

Treatment Implications and Future Directions for TNBC

For anyone diagnosed with triple-negative breast cancer (TNBC), understanding the treatment implications and the exciting future directions is incredibly empowering. Because TNBC lacks the three main receptors (ER, PR, and HER2) that are targetable by common breast cancer drugs, the traditional mainstay of treatment has been, and largely still is, chemotherapy. Chemotherapy works by attacking rapidly dividing cells, which cancer cells notoriously are, but it also affects some healthy cells, leading to a range of side effects. For many years, this was the primary systemic treatment option, often given before surgery (neoadjuvant) to shrink the tumor, or after surgery (adjuvant) to reduce the risk of recurrence. However, the landscape for TNBC treatment is rapidly evolving, bringing new hope and more refined strategies. One of the most significant breakthroughs has been the emergence of immunotherapy . Drugs like pembrolizumab (Keytruda), which are immune checkpoint inhibitors, work by unleashing the body’s own immune system to recognize and fight cancer cells. These therapies have shown promising results, particularly in patients whose tumors express PD-L1, a protein that can help cancer cells evade immune detection. Integrating immunotherapy with chemotherapy has become a critical new approach for some TNBC patients, demonstrating improved outcomes and offering a much-needed targeted alternative beyond conventional chemo. Another area of significant advancement involves PARP inhibitors , such as olaparib (Lynparza) and talazoparib (Talzenna). These drugs are particularly effective for TNBC patients who have specific genetic mutations, most notably in the BRCA1 or BRCA2 genes. These genes are crucial for DNA repair, and when they’re mutated, cancer cells become more reliant on other repair pathways. PARP inhibitors block one of these alternative pathways, essentially making it impossible for the cancer cells to repair their DNA, leading to their death. This is a fantastic example of personalized medicine making a real impact within the TNBC subtype. Beyond these, there’s intensive research into other novel agents, including antibody-drug conjugates (ADCs) like sacituzumab govitecan (Trodelvy), which deliver chemotherapy directly to cancer cells by linking it to an antibody that targets a specific protein often found on TNBC cells. This strategy minimizes damage to healthy cells, making the treatment more effective and less toxic. Clinical trials are continuously exploring new targets and combinations, pushing the boundaries of what’s possible. The role of immunohistochemistry for triple-negative breast cancer remains foundational, as accurately identifying a tumor as TNBC is the very first step in determining if these newer, more sophisticated treatments are appropriate. As our understanding of TNBC’s unique biology deepens, we’re moving towards an era of more precise, targeted, and effective therapies, offering a brighter outlook for patients than ever before. This ongoing research and the development of these advanced treatments underscore the dynamic and hopeful future for those facing this challenging diagnosis, emphasizing that active research is constantly bringing new weapons to the fight against TNBC.

Living with Triple-Negative Breast Cancer: Support and Outlook

Living with a diagnosis of triple-negative breast cancer can present unique challenges, but it’s crucial to remember that you are not alone, and the outlook is continually improving thanks to ongoing research and new treatment options. For many years, the diagnosis of TNBC was often associated with more anxiety due to its aggressive nature and the limited targeted treatment options available. However, advancements in understanding the disease and the introduction of therapies like immunotherapy and PARP inhibitors are transforming the patient experience. The journey often begins with the robust and critical information provided by immunohistochemistry for triple-negative breast cancer , which immediately helps define the path forward. This initial diagnostic clarity, while sometimes daunting, is also empowering, as it means treatments can be tailored specifically to the tumor’s unique profile. One of the most important aspects of living with TNBC is building a strong support system. This includes your medical team – oncologists, nurses, pathologists, and support staff – who will guide you through every step. But it also extends to family, friends, and patient advocacy groups. Connecting with others who understand the TNBC experience can be incredibly validating and provide a wealth of practical and emotional support. Organizations dedicated to breast cancer, and specifically TNBC, offer resources, forums, and peer support networks that can help navigate the emotional, physical, and practical aspects of treatment and recovery. Mental health support, whether through counseling or support groups, is also absolutely vital. The emotional toll of a cancer diagnosis, especially one like TNBC, can be significant, and having strategies to cope with stress, anxiety, and fear is essential for overall well-being. Physically, managing side effects from chemotherapy or other treatments is a major focus. Your medical team will work closely with you to mitigate these, and there are often complementary therapies and lifestyle adjustments that can help improve quality of life during treatment. Maintaining a healthy lifestyle, including nutrition and moderate exercise when possible, can also play a role in recovery and long-term health. The outlook for TNBC is certainly evolving. While it remains a challenging subtype, early detection, aggressive treatment, and the expanding arsenal of therapies are leading to better outcomes for many patients. Recurrence remains a concern, particularly in the first few years, making vigilant follow-up care incredibly important. However, ongoing research is dedicated to improving long-term survival and preventing recurrence, with clinical trials continually exploring new drugs and treatment combinations. Participating in a clinical trial, if eligible, can offer access to cutting-edge treatments that might not yet be widely available. Ultimately, living with TNBC is a journey that emphasizes resilience, informed decision-making, and proactive engagement with your care team and support network. The accurate and crucial information derived from triple-negative immunohistochemistry is the first vital step in this journey, setting the foundation for comprehensive and compassionate care tailored to each individual, offering hope and progress in the fight against this disease. Always remember that knowledge is power, and being an informed patient is your best asset.